MRI SCANNING - WHY YOU NEED TO DO IT!

 1. It Starts With VISCERAL FAT

This illustrates where an abdominal visceral fat MRI scan is taken on a human. Visceral Fat is the single most dangerous tissue that resides in the body of unfortunately the average person unaware of its existence. Remarkably even physicians don’t know about it (ask your’s and see the tepid response signaling their ignorance). There is a plethora of studies and articles about the dangers of visceral fat but our disease exploiting systems don’t allow for its awareness to be promoted. Educate yourself about visceral fat by reading studies and quality articles on it easily available through search engines (google, etc). My site is not intended to educate people about the dangers because that is easily apparent in the enormity of information/resources already on the internet or public libraries. It is also best you find out how bad it is for yourself. My website instead is for the educated consumer already aware of the profound dangers of visceral fat and desires to obtain optimal health as well as the best life possible by eradicating visceral fat.

Visceral fat resides deep inside of your abdomen and appears white in the MRI image on the bottom and painted red in the top image. Subcutaneous fat is colored yellow in the cross-sectional view on top. How much visceral fat you have is most accurately established by safe MRI without radiation but can also be seen in an abdominal CT. (See last image below especially if you have ever had an Abdominal CT to find out how much visceral fat you have at least when the scan was done - so keep reading - I cover a few scans showing just how much disease in the body correlates to visceral fat that most people have NO idea about.)


2. Eating Processed Foods CAUSES Visceral Fat

This shows just how fast Visceral Fat is eliminated by simply cutting out PROCESSED FOODS from your diet! In this case series this 68-year-old male client just eliminated processed foods and nothing else, turning from a belly bulging 68-year-old to having a waist/abdomen like a collegiate athlete in their twenties. He did NOT exercise ONE MINUTE. Honestly, you are likely wasting your precious time exercising if you are continuing to eat processed foods. I scan clients to show what really matters - their visceral fat! After showing them their own visceral fat, I provide every client with over 40 strategies to eliminate it and with it their chronic disease.


3. Heart Fat is Eliminated When Visceral Fat is Eliminated

This MRI scan on the left shows a large amount of pericardial fat in the same 68-year-old business executive and how much it was reduced in the scan on the right in just 13 weeks from simply eliminating processed foods and again without exercising one minute -its diet that matters the most. How much fat do you have around your heart? Pericardial fat almost always correlates with visceral fat. When one is eliminated the other improves.


4. Fat in Your Muscles Cause Inflammation & is Present in Proportion to Visceral Fat

Want to know why you become weak as you age and your legs and arms start wobbling when elderly? Take a look here then: This image shows a large amount of abdominal visceral fat in a 63-year-old client on top and an MRI scan through his legs showing white streaks which are fatty infiltrates degrading both the health and performance of muscles when present. They correspond to the amount of visceral fat. Sadly, neither visceral fat nor fatty infiltrates are EVER read, commented on or addressed by the medical system. You are just allowed to worsen making the system more money through more needed drugs.. Get both your Visceral Fat & Muscle Fat measured today and start eliminating chronic disease. You have to look out for yourself if you really want to get better and stop worsening.


5. Dad Bod KILLS! Get RID of Visceral Fat and Have Healthy Body For Ever

This is a before and after photo in this 63-year-old client showing his improved abdomen in just 5 months after following the 40 strategies developed for the National Science Foundation to reverse chronic disease. His abdominal scans are directly below:


6. Visceral Fat is Eliminated With a Healthy Diet & Lifestyle

Shown in the image on bottom is an initial MRI scan showing massive amounts of visceral fat. The top image shows reduced Visceral Fat after following strategies seen in repeat follow-up scan five months later.


7. The Lowest Visceral Fat Ever Seen & Lowest Muscle Fat Ever Seen

These two images stand in contrast to the two scans above. These are from a 22 year old Olympic Sprinter who does not eat processed foods. He has the best abdominal scan ever seen with optimal muscle to fat ratio. His muscles are MASSIVE and he has the lowest amount of visceral fat ever seen. He also has the healthiest thigh muscles ever on MRI scan on bottom. He is the picture of health or "scan of health". Visceral fat correlates to fatty infiltrates in muscle including smooth muscle in arteries and veins. What would your scans of your abdomen and thigh muscles show? Don’t see to for normal pursue optimization by living better. 


8. Meat Marbling is Inflammatory Muscle Marbling in Cows & Humans

Fatty infiltrates seen on MRI in musculature and in existence in smaller scale in vasculature (in the walls of blood vessels) including arteries, veins, organs and the endocrine system (glands) is also evident in animals fed a diet not appropriate for their species. In this example, beef fat infiltrates are seen on the right from an animal fed grain and corn. Sometimes even molasses is fed to cows to fatten them up. The steak on the left is from a cow that is grass-fed/ grass finished showing little to no fatty infiltrates. Humans eating a species appropriate diet (i.e. a diet of whole foods at least without processed foods have little to no visceral fat, nor fatty infiltrates in their muscles and less fatty infiltrates in their arteries. The next image below of brain arteries shows how arteries become diseased so keep reading.


9. Reversing ASCVD: Clogged Arteries Open by Eliminating Visceral Fat

This scan on the far left shows arteries in the brain with diminished blood flow and a large plaque (blockage) in the middle cerebral artery circled in white. The same artery is restored after the blockage is reversed in just 9 months in the image on the right (also circled in white) following eliminating visceral fat achieved from adopting the 40 strategies developed to reverse chronic disease for the National Science Foundation. Following the elimination of Visceral Fat and Fatty Streaks in Muscles and Smooth Muscles in blood vessels arteries begin to display BEAUTIFUL BOUNDING VISIBLE PULSATIONS. Wouldn't you like to have visible powerful pulses rather than weak invisible ones? Your doctor probably has you pursuing lower cholesterol- my approach is optimizing blood flow by eliminating your biggest threat - visceral fat.


10. Muscle Inflammation & Sarcopenia/Muscle Atrophy: How Much Do You Have? Unless You Get Scanned You Don't Know

This image on the left shows a series of MRI scans through the legs and thighs of elderly people with various stages of sarcopenia or muscle wasting which increasingly afflicts most people from the age of 50 when fatty infiltrates gradually replaces their healthy muscle with inflammatory fat. Sadly, over the years they were allowed to accumulate visceral fat never identified, much less eliminated. The consequences can be seen here. Wouldn't you like to know if this was happening to you .... yet it is not even commented on by physicians because they are neither trained to identify it nor do anything to correct it. Reversing sarcopenia and chronic disease is one of my passions. If you ever had an MRI or CT, ask to get the images and look at them yourself because unless the system can make money on it you won't ever hear about it or do anything to correct it.


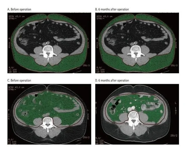
11. Have You Ever Had an Abdominal CT?

You can see Visceral Fat on an Abdominal CT shown here where visceral fat appears BLACK instead of WHITE as it appears on MRI images above. Go back and get all your Abdominal CTs to see for yourself this Visceral Fat. Sadly I guarantee even though it's deadly, decreases your quality of life & causes chronic disease NO ONE ever tells you about how much you had in your scans. Work with a health provider experienced in visceral fat to see how much an issue visceral fat is for you. The problem is very few are.


 

You are ready to work with Dr. Sean OMara if You Understand Your BODY is Your MOST Important Physical Asset.

Sean OMara MD is a licensed physician in Minnesota and cannot provide medical advice through the internet to people who are not his client patients.